|
1見積もり、完成までの日程確認
設計の概略を教えて頂ければ、技工料金の見積もり
(無料)します。お気軽にお問い合わせ下さい。
前装の有無など、何パターンかの見積もりも可能です
|
 |
2平行性の確認(支台歯・メタルコアー)
6度の傾斜の内冠が入ります 平行性を確認することで、
前歯の審美性、ネガィテブのない
内冠の製作が可能となります |
 |
3内冠印象
セット後の内冠脱落を防止するため
緊密な適合が求められます
個歯トレーによる印象をお薦めしています。
|
 |
4内冠製作
内冠をミリングマシーンにて製作します
軸面の精度良ければ、長期間安定した維持力が得られます
(フリーハンドでは安定的な維持力は望めないようです)
|
 |
5内冠セット
支台歯の汚染を防ぐため速やかに内冠をセットします
レジンコーピング法を採用する一番のメリットととなります
一般的には外冠や義歯が完成するまで内冠セットは出来ません |
 |
6仮義歯の調整
内冠がセットされているのでコーヌスタイプの仮義歯になります
(最終的なコーヌス義歯と同じ形態の義歯になります)
この段階でかなり噛める義歯になるようです。
もし不具合があれば、床外形の変更・支台歯の追加・・・等の
検討が必要となります
※内冠と仮義歯を同時に製作する事も可能です
※レジンの外冠だけを技工所で作り口腔内で仮義歯に
追加する方法もあります
※仮義歯は完成義歯の成否を占う重要な指針になるようです |
 |
7レジンコーピングによる義歯の印象
内冠とレジンコーピングはセットでラボより納品されます
レジンコーピングは内冠に対して適度な維持力があります
コーピングをぎゅっと試適して各個トレーと
シリコン印象材にて印象して下さい |
 |
8咬合採得
咬合床はたわみが無く、口腔内にぴったり合ったものを
ガタツキは位置関係の狂いを示しています、ラボに連絡して下さい
※ゴシックアーチトレーサーを採用してみてください
咬合高径はネジで簡単に調整できます
顎位が決定したら速硬性の石膏にて(キサンタノ)固定して下さい
側方運動のチェックバイトも石膏にて採得出来ます。
前後・側方運動はスムーズに行えるか?
タッピングポイントとゴシックアーチの先端が一致するか?
患者さんの咬合状態の診断にも活用して下さい。
※ゴシックアーチは口腔内より上下顎一体で取り出して下さい
※位置関係がズレていないか確認してください |
 |
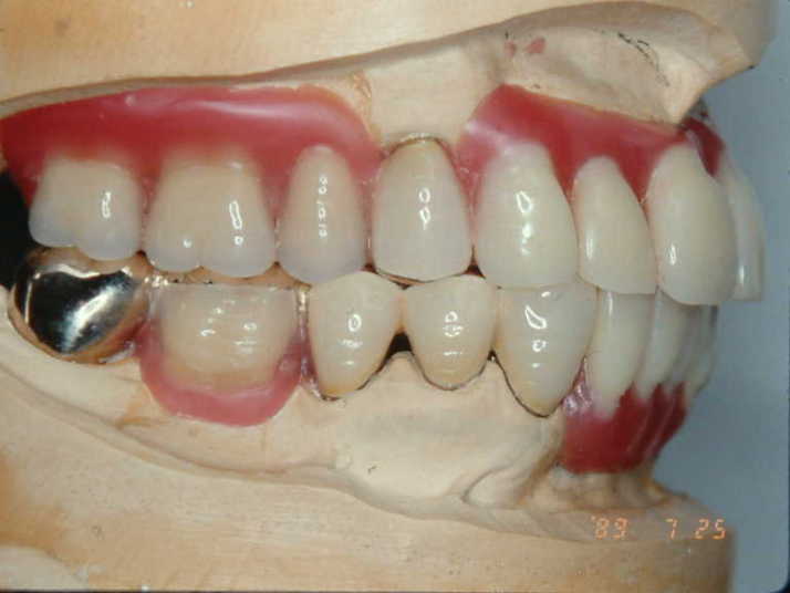
9試適
配列・色・外冠の維持力・床の状態など確認して下さい
変更できる最後のチャンスです
患者さんにもよく見て頂き、イメージどうりか確認して下さい |
 |
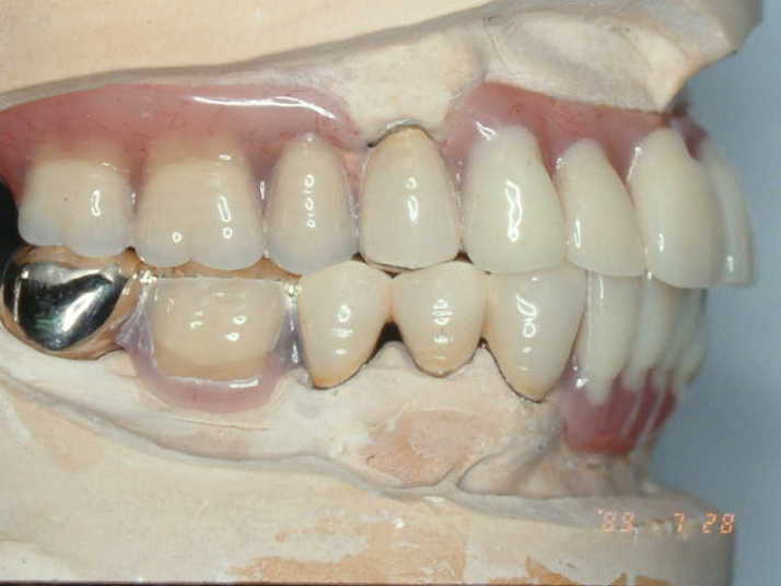
10完成
技工所で、レジン重合後にリマウント、咬合調整してあります
外冠はしっかり模型に固定されて重合しますので
外冠の位置関係が狂うことはありません
レジンの重合収縮は、人工歯の位置関係の狂いのみとなって
現れますが、リマウントして修正されます。
※外冠を一旦模型より分離する一般的な重合方法では、外冠と内冠
の位置関係がズレる恐れがありますので、採用しておりません
|
|
11維持力の調整
コーヌス完成後数日患者さんに使って頂くと維持力が強くなる場合が
あります
ナビデンタルよりお渡ししているパラ箔(又はシール状の箔)を
外冠の内面天井に貼って頂くことで、維持力の調整ができます。 |
 |
12維持力の調整(スットパー付き外冠)
コーヌスでは、セット後に箔を貼るなどして何度か維持力を調整
しなけらばならない症例がほとんどのように思われます。
技工製作上、1歯のみの維持力の設定は可能であったとしても
ろー着や複数の内外冠があるため、コーヌス義歯全体での維持力を
ぴったりに合わせる方法は非常に困難と考えられてきました。
※維持力不足への対応は困難なため、必ず1歯ごとに維持力を付与
しているためトータルでは維持力過剰となることが多いのです
そこで、セット後に箔を貼るなどの措置で対応して頂いていましたが
セット後何度も診療室に通う患者さんの不便解消と、なんとか最初
からピッタリの維持力に出来ないのかとの思いから
箔の代わりに最初から外冠の天井に金属ストッパーを付けておく方法
を思いつき採用しています。
この方法では1歯だけの維持力調整だけにとどまらず、
複数の外冠のろー着後や外冠全部でのトータルの維持力を調整して
最終補綴物として納品できるので
今までより数段 維持力の精度が上がりました
このスットパーのもう1つの利点として、数年たった後維持力が不足
した場合、スットパーを削ることで、再度簡単に維持力が
出る点にあります
事実、スットー付きを採用された先生方からは
「スットパー付き外冠になってから、調整の回数が減ったよ、維持力
を調整しなくていいケースもあり助かる」
「箔だと剥がれてしまう場合もあり、なんとかならないかなと思って
いたから、スットーパー付き外冠は本当に助かる」
「スットパー付き外冠だと、将来 維持力が不足した場合に簡単に
維持力を増やすことが出来るから安心だ」 などなど好評なため、現在はすべてのコーヌスに採用しています |
|
今後も経過観察から、修正すべき点が見つかりしだい対策を考え
より確実でトラブルの少ないコーヌスクローネを作っていきたい
そんな思いで日常の仕事に取り組んでいます |