 |
 |
2-2 MB連結冠
※前突した形態と色を修正したケース
患者さんの希望として
☆出歯を直して内側に入れて欲しい
☆綺麗な歯にして欲しい
医師からの疑問として
☆1.1の間の小ダミーを取り除いて審美的に
美しい歯を作り上げることができるのか?
技工士からの回答として
☆下顎前歯の切端を削って頂ければ
2〜2を内側に入れて審美的にも納得して
頂ける補綴物が出来ると思われます。
☆テックにて患者さんが満足されるか確認してから
最終補綴物に移行しましょう
☆2.2の歯の幅を広げ、1.1の幅を狭くし
全体のバランスを取り作りたいと思います
☆1〜1の間の歯間空隙部分が不自然にならない
よう歯肉模型にて確認しながら製作します |
 |
 |
 |
 |
 |
 |
 |
 |
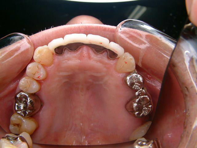
メタルコアー 個歯トレー&各個トレにて印象 |
 |
 |
下顎前歯切端を内側に削って頂いた所 |
 |
 |
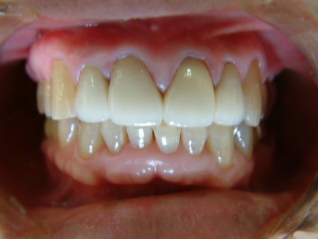
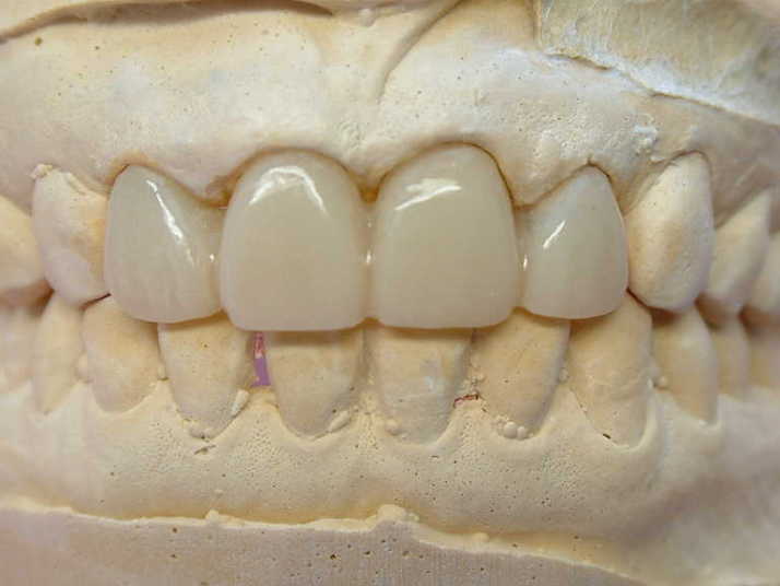
補綴物物 完成
患者さんから「出っ歯にならないよに!」
と再度念を押されたので
出来る限り内側に入れて製作しました。
模型上では、1.1下部孤形空隙が広いように
見えますが、歯肉模型にて調整して
歯肉を圧迫せず、息が漏れることが無いように
調整しました |
 |
 |
 |
 |
 |
 |
初診の状態とセット時の状態
|
 |
 |
2112 連結MB
※上記の患者さんの近親者
綺麗になった歯をご覧になって
ご自分の歯も治す決意をされたそうです
個歯トレー&各個トレー&テック
患者さんは、自分のイメージした補綴物
が出来上がってくるか不安だと思いますが
テックで歯の長さや、形態を確認することで
信頼関係が出来上がるようです。 |
 |
 |
先生方よりテックより少し短くとか、内側に入れて
等のアドバイスを頂いてからMBの製作に
取りかかります。
テックをもとにした打ち合わせを行っているので
ワックス試適、ビスケットベイク試適など
は行っていません |
 |
 |
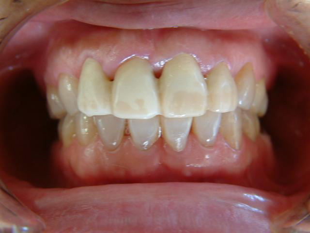
初診と最終補綴物
患者さんにも満足して頂けた最終補綴物 |
|
|
|