1.1 MB
※写真をクリックすると拡大します
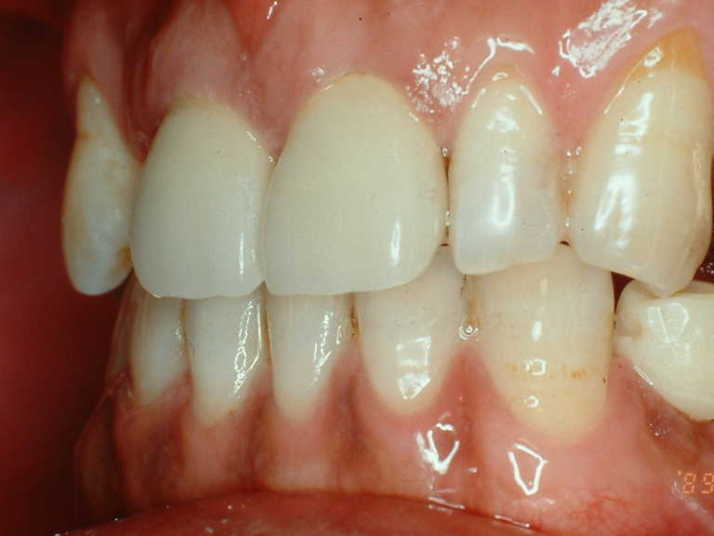
21 1 MBブリッジ
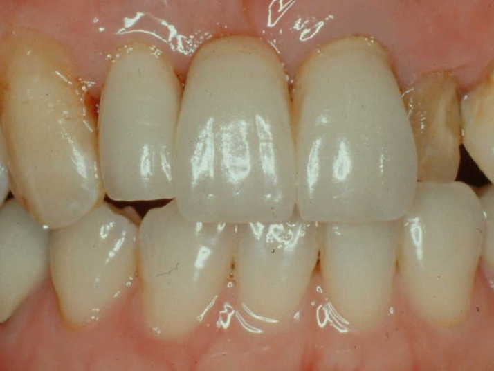
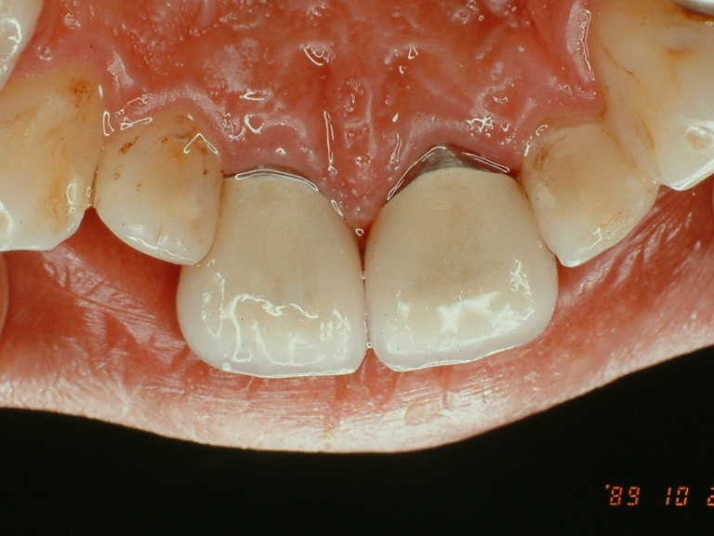
   1 1の歯頚ラインが揃うように気を使った症例
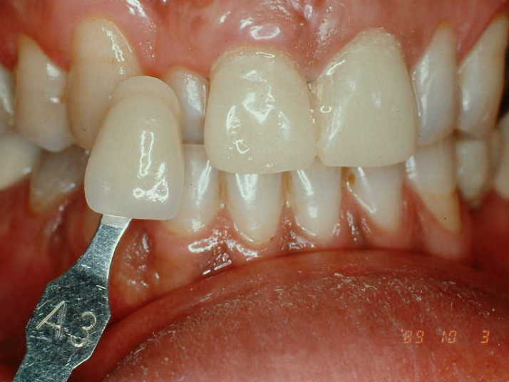
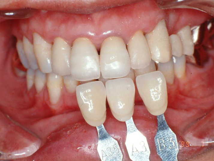
2 3 MB単冠
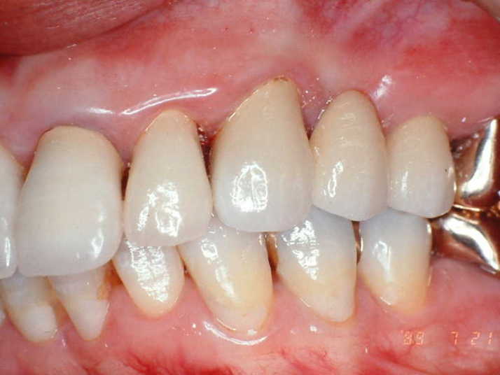
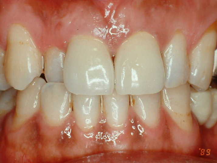
345 MBブリッジ